ÁREAS DE ESPECIALIZACIÓN
En el Centro Médico de Rodilla Viña del Mar, somos especialistas en el diagnóstico, tratamiento y seguimiento integral de patologías de rodilla, abordando tanto tratamientos quirúrgicos como conservadores según las necesidades de cada paciente. Nuestro enfoque hiperespecializado nos permite ofrecer soluciones médicas precisas, personalizadas y basadas en la evidencia, para lograr una recuperación efectiva y segura.
Patologías de Rodilla
- Artrosis de Rodilla.
- Contusiones, esguinces, fracturas y luxaciones alrededor de la rodilla.
- Roturas Meniscales.
- Roturas Ligamentarias: Cruzado Anterior, Cruzado Posterior, Ligamentos colaterales, Ligamento patelofemoral.
- Rotura del Tendón patelar y cuadricipital.
- Mal Alineamientos Rotulianos.
- Condromalacia Rotuliana.
- Tendinitis de cuádriceps, Rotuliano y otros alrededor de la rodilla.
- Fractura de Tibia proximal, Fémur distal y rótula.
- Luxación Rótula.
- Inestabilidad Patelofemoral.
- Artritis Séptica de Rodilla.
- Infección Protésica de Rodilla.
- Prótesis de Rodilla dolorosa.
- Genuvalgo - Genuvaro.
- Trastorno Torsional de los ejes de las extremidades inferiores.
- Artrosis de Rodilla secundario a patologías autoinmunes.
- Artrosis Post traumática de Rodilla.
- Lesiones condrales y osteocondrales.
Tratamientos Quirúrgicos y Conservadores
- Manejo Conservador y Kinesiológico de patologías de rodilla.
- Osteosíntesis o Fijación interna de Fracturas de Rodilla.
- Prótesis unicompartimentales de Rodilla.
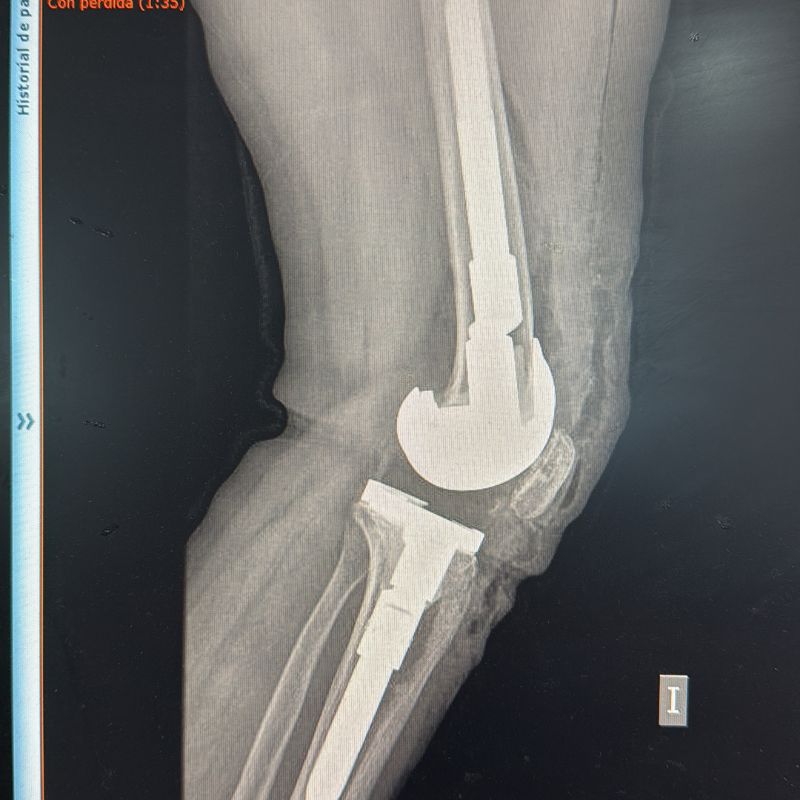
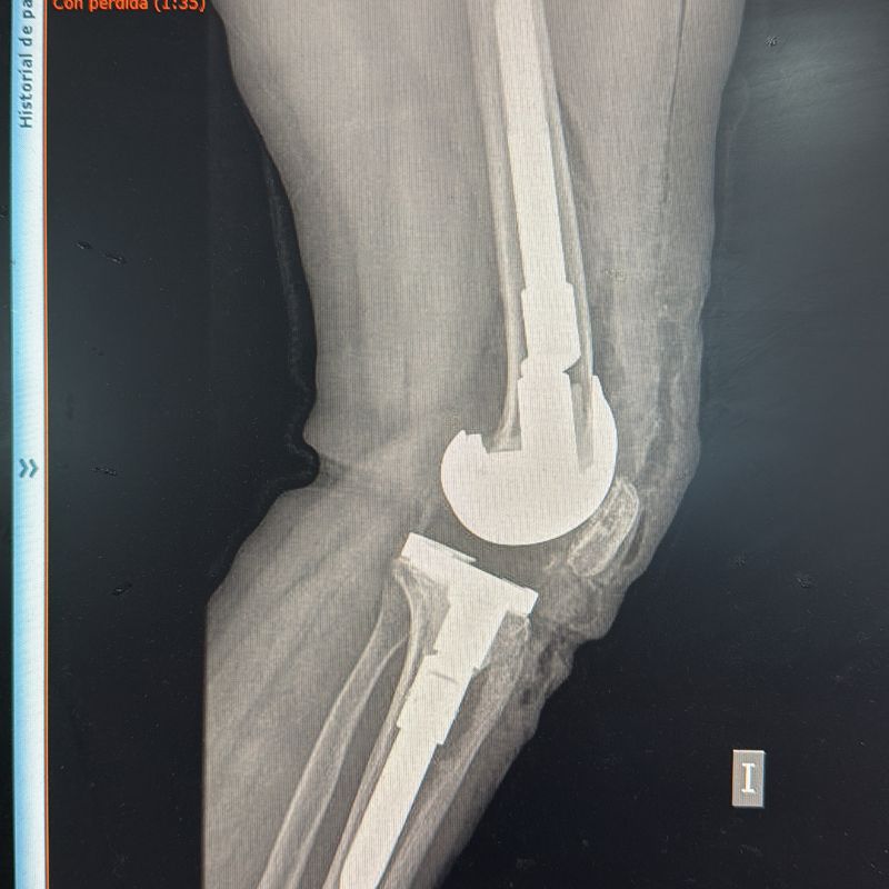
- Prótesis Total de Rodilla.
- Retiro de Prótesis de Rodilla dolorosa o fallida.
- Prótesis de Revisión de Rodilla.
- Prótesis de rodilla en pacientes alérgicos a metales.
- Osteotomías o corrección de ejes de extremidades inferiores.
- Osteotomías o corrección de mal alineamiento rotuliano.
- Corrección de alturas patelares.
- Tendinitis crónica alrededor de la rodilla resistentes a tratamiento conservador y Kinesiológico.
- Artroscopias de Rodilla.
- Reconstrucción ligamentarias de rodilla.
- Reconstrucción Meniscal.
- Transplante Meniscal.
- Manejo de infecciones alrededor de la rodilla.
- Infección periprotésica de rodilla.
- Estabilización Patelofemoral.
- OATS o transplantes osteocondrales.
- Transplantes masivos estructurales.
Nuestro Compromiso
Diagnóstico Preciso y Tratamiento Integral
Utilizamos tecnología avanzada y un enfoque multidisciplinario para garantizar la mejor atención, ya sea con manejo conservador o quirúrgico.
Enfoque Personalizado y Seguimiento Continuo
Realizamos un seguimiento continuo desde el diagnóstico hasta la recuperación completa, asegurando resultados óptimos en cada etapa del tratamiento.
Innovación y Excelencia en Cirugía y Rehabilitación
Nuestro objetivo es devolver la funcionalidad y calidad de vida a nuestros pacientes.
























